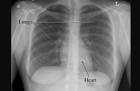
X-Ray of a Normal Chest

Image of a normal chest

Courtesy of Intermountain Medical Imaging, Boise, Idaho.

This is a picture of a normal chest X-ray of a woman showing the air-filled spaces of the lungs and the more solid gray shape of the heart. The lungs and heart are normal in size and shape.

ByHealthwise Staff

Primary Medical ReviewerAdam Husney, MD - Family Medicine

Specialist Medical ReviewerHoward Schaff, MD - Diagnostic Radiology

Current as ofOctober 14, 2016

Current as of: October 14, 2016

Author: Healthwise Staff

Medical Review: Adam Husney, MD - Family Medicine & Howard Schaff, MD - Diagnostic Radiology